Питання 45

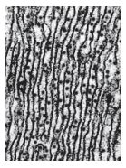
Проаналізуйте опис органели: «На поверхні мікроскопічних канальців цієї органели розташовуються рибосоми, за участі яких синтезуються білки. У її порожнинах білки набувають характерної їм просторової конформації, до них можуть приєднуватися небілкові компоненти».

Продовжте опис органели, укажіть її назву та електронну мікрофотографію.

Хочете пройти повний тест ЗНО онлайн 2018 року з біології – додаткова сесія?